İmplant vidası ciğerine kaçtı! Hasta ölümden döndü
Van'da implant tedavisi gören bir hasta ölümden döndü. İmplant vidası soluk borusuna kaçan hasta, uzun müdahaleler sonucu vücudundan vidayı atabildi.
Van'da F.T. isimli bir vatandaş implant tedavisi gördüğü sırada, implant vidası yanlışlıkla nefes borusuna kaçtı. Hasta, ileri tetkik ve tedavi amacıyla Van Eğitim ve Araştırma Hastanesi'ne gönderildi.
Vida yerinden güçlükle oynatıldı
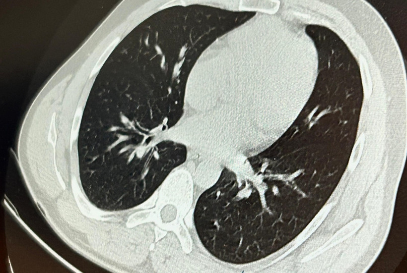
Göğüs Cerrahisi uzmanları Dr. Sadullah Aksoy ve Dr. Beniz İrem Ersoy Şığva tarafından hastaya bronkoskopi işlemi uygulandı. İmplant vidası, sol akciğerin üst lobunda saplanmış şekilde bulundu.
Vidanın bulunduğu konum nedeniyle güçlükle yerinden oynatılabildi. Ancak, yapılan tüm müdahalelere rağmen vide yerinden çıkarılamadı.

Ancak hasta, öksürük sonrası implant vidasını yutarak midesine kaçırdı.Vida, daha sonra doğal yollarla hastanın vücudundan atıldı.
"İşlem yaklaşık 3,5-4 saat sürdü"
Konuya ilişkin açıklamalarda bulunan Göğüs Cerrahi Op. Dr. Sadullah Aksoy, vidanın sol akciğerin hava yollarının yaklaşık dördüncü dalına kadar ilerlediğini tespit ettiklerini şöyle anlattı:
"Geçtiğimiz cumartesi günü öğle saatlerinde tarafımıza ulaşıldığında, hastanın Van Eğitim ve Araştırma Hastanesi'ne yönlendirilmesini istedik. Burada acil bronkoskopi planı yapılarak hasta kabul edildi. Hasta geldiğinde genel durumu iyiydi; solunumunu tamamen engelleyen bir bronş tıkanıklığı söz konusu değildi.

Aynı gün hastamızı hazırladık. Bronkoskopi sırasında, implant vidasının sol üst lobun anterior segment bronşuna saplanmış pozisyonda olduğunu gördük. Üroloji bölümünde taş çıkarma işlemlerinde kullanılan cihazla müdahale ettik. İlk denemede implant tamamen çıkarılamadı ancak yerinden oynatılabildi. Bunun üzerine bir süre bekleyip hastayı yeniden bronkoskopi için hazırlamaya başladık. İşlem yaklaşık 3,5-4 saat sürdü ve saat 18.30 civarında hasta işlemden çıkarıldı."
"Şiddetli öksürük sonrası vida görünmedi"
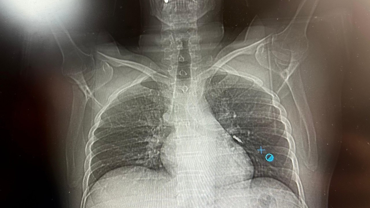
Daha sonra hasta için yeniden bronkoskopi planladıklarını ancak bu süreçte hastanın şiddetli bir öksürük geçirdiğini aktaran Aksoy, "Şiddetli öksürük sonrası yapılan kontrol akciğer filminde implant vidası görünmedi. Bunun üzerine toraks ve batın BT (bilgisayarlı tomografi) görüntülemesi istedik. Sonuçlarda implantın akciğerden çıktığı ve vücutta herhangi bir yerde bulunmadığı tespit edildi" dedi.

"İyileşme süreci sorunsuz tamamlandı"
Göğüs Cerrahi Op. Dr. Beniz İrem Ersoy Şığva ise merkezde ilk kez böyle bir vakayla karşılaştıklarını kaydederek, şunları söyledi:
"Vidanın dişe özel ve vidalı yapıda olması, ayrıca bronşların küçük dallarına saplanması nedeniyle çıkarma işlemi beklenenden uzun sürdü. Ancak hasta takiplerinde herhangi bir komplikasyona rastlanmadı ve iyileşme süreci sorunsuz tamamlandı."